Non-Surgical Relief With Plantar Fasciitis Embolization (PFE)
You shouldn’t have to live with chronic heel pain. If you’ve tried everything, from stretching and orthotics to steroid injections, and nothing seems to work, the specialists at Texas Endovascular can help. We offer a minimally invasive treatment that targets the root cause of plantar fasciitis pain.
Consult with our team to find out if plantar fasciitis embolization (PFE) is the right treatment option for you.
What Is Plantar Fasciitis?

PFE is a minimally invasive procedure used to treat chronic heel pain caused by plantar fasciitis. This is a non-surgical alternative designed for those who haven’t found relief through conservative treatments like physical therapy, orthotics, or pain relief medications.
How PFE Works
PFE helps alleviate pain and promote healing by gently reducing blood flow to a specific area of the plantar fascia. The plantar fascia is a thick band of tissue that runs across the bottom of each foot, connecting the heel bone to the toes.
Benefits of PFE for Chronic Heel Pain
- No incisions or stitches required.
- Outpatient procedure with local anesthesia
- Minimal downtime with quick return to normal activities.
- Gradual, long-lasting pain relief.
- Avoids surgery and repeated steroid injections.
- Targets the root cause (abnormal blood vessel growth and inflammation).
Who Is a Candidate for PFE?
If you have one or more of the following symptoms, consult your primary care provider to find out if outpatient treatment for plantar fasciitis is right for you:
- Confirmed diagnosis of plantar fasciitis.
- Persistent heel pain for six or more months.
- Failed conservative therapies.
- Seeking non-surgical alternatives.
- Good overall health.
What To Expect During the PFE Procedure
Plantar fasciitis embolization procedures are typically quick, with same-day discharge and minimal downtime. Here is what you can expect during the procedure:
- Local anesthesia and mild sedation.
- Catheter insertion (typically in the ankle or leg).
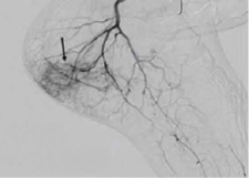
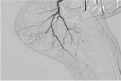
- Image-guided heel pain treatment using fluoroscopy or ultrasound.
- Embolic injection to block the blood vessels causing inflammation in the plantar fascia.
- Close monitoring to ensure your comfort and safety.
- Quick recovery with minimal discomfort.
Why Choose Texas Endovascular for PFE?


At Texas Endovascular, our board-certified vascular and interventional radiologists specialize in advanced, minimally invasive plantar fasciitis treatment for heel pain. We prioritize your safety, comfort, and long-term relief using image-guided techniques to help you feel better faster with minimal downtime.
If you or a loved one is struggling with heel pain, we’ll help determine if PFE is right for you. Our team offers personalized vascular treatment for plantar fasciitis and collaborative care to get you back to doing what you love, pain-free.
Find out if interventional radiology for plantar fasciitis is right for you at a Texas Endovascular location nearest you.
Frequently Asked Questions (FAQ)
Is plantar fasciitis embolization safe?
Yes. PFE is a safe and effective procedure for treating chronic plantar fasciitis. However, like any medical procedure, there are some potential risks, including:
- Small risk of infection at the catheter insertion point.
- Temporary pain and discomfort during or shortly after the procedure.
- Bruising and swelling at the catheter insertion point.
How long does the PFE procedure take?
The embolization procedure for heel pain usually takes one to two hours. However, you will be monitored for a few hours following the procedure to ensure your comfort and safety before you can return home.
Will I feel pain after the procedure?
Some patients may experience minor soreness at the catheter insertion point after PFE. However, our board-certified interventional radiology specialists are dedicated to your comfort before, during, and after the procedure.
How soon will I notice results?
Many patients will notice plantar fasciitis symptom relief within a few days to a few weeks following PFE treatment. Full improvement may take a few months, as internal inflammation can take time to subside.
How do I know if I’m a good candidate?
If you struggle with chronic heel pain from plantar fasciitis that hasn’t improved with conservative (e.g., physical therapy, orthotics, or over-the-counter pain relievers) treatment, consult your primary care provider to find out if PFE is the right solution for you.
Is this procedure covered by insurance?
PFE is typically covered by insurance. However, coverage can vary. We can help verify your benefits.








